Son yıllarda artan kolalı içecek tüketimi, sağlığımız üzerinde ciddi tehditler oluşturuyor. Uzmanlar, özellikle gençler arasında yaygın olan bu alışkanlığın obezite, diyabet ve diş sağlığı problemleri gibi pek çok sağlık sorununa yol açabileceği konusunda uyarıyor.
Haber Giriş Tarihi: 21.10.2024 17:35
Haber Güncellenme Tarihi: 21.10.2024 17:45
Kaynak:
İGFA
Reyhan ÖZBAKIR / HERKES DUYSUN
BURSA (İGFA) - Bir kutu kolanın, ortalama 30 gram şeker içerdiğini belirten uzmanlar, bu miktarın bir yetişkinin günlük önerilen şeker alımının neredeyse tamamını karşıladığını belirtiyor. Aşırı şeker tüketiminin insülin direncini artırarak diyabet riskini yükselttiği ve kalp sağlığına zarar verdiği ifade ediliyor.
Uzmanlar, kolalı içeceklerin düzenli tüketiminin vücut kitle indeksini artırarak obeziteye yol açtığını da kaydederken obezitenin yalnızca fiziksel sağlığı etkilemekle kalmadığını, aynı zamanda psikolojik sorunlara ve yaşam kalitesinin düşmesine de neden olduğunu belirtiyor.
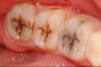
Kolanın en çok dişlere zarar verdiğinin de altını çizen uzmanlar, “Kola ve diğer asidik içecekler, diş minesine zarar vererek çürümelere yol açar. Ayrıca Gençler arasında daha çok tüketilen kolanın geç yaşta diş ömrünü azaltır.” diyor.
Sizlere daha iyi hizmet sunabilmek adına sitemizde çerez konumlandırmaktayız. Kişisel verileriniz, KVKK ve GDPR
kapsamında toplanıp işlenir. Sitemizi kullanarak, çerezleri kullanmamızı kabul etmiş olacaksınız.
En son gelişmelerden anında haberdar olmak için 'İZİN VER' butonuna tıklayınız.
Kola en çok dişlere zarar veriyor
Son yıllarda artan kolalı içecek tüketimi, sağlığımız üzerinde ciddi tehditler oluşturuyor. Uzmanlar, özellikle gençler arasında yaygın olan bu alışkanlığın obezite, diyabet ve diş sağlığı problemleri gibi pek çok sağlık sorununa yol açabileceği konusunda uyarıyor.
Reyhan ÖZBAKIR / HERKES DUYSUN
BURSA (İGFA) - Bir kutu kolanın, ortalama 30 gram şeker içerdiğini belirten uzmanlar, bu miktarın bir yetişkinin günlük önerilen şeker alımının neredeyse tamamını karşıladığını belirtiyor. Aşırı şeker tüketiminin insülin direncini artırarak diyabet riskini yükselttiği ve kalp sağlığına zarar verdiği ifade ediliyor.
Uzmanlar, kolalı içeceklerin düzenli tüketiminin vücut kitle indeksini artırarak obeziteye yol açtığını da kaydederken obezitenin yalnızca fiziksel sağlığı etkilemekle kalmadığını, aynı zamanda psikolojik sorunlara ve yaşam kalitesinin düşmesine de neden olduğunu belirtiyor.
Kolanın en çok dişlere zarar verdiğinin de altını çizen uzmanlar, “Kola ve diğer asidik içecekler, diş minesine zarar vererek çürümelere yol açar. Ayrıca Gençler arasında daha çok tüketilen kolanın geç yaşta diş ömrünü azaltır.” diyor.
Kaynak: İGFA
En Çok Okunan Haberler